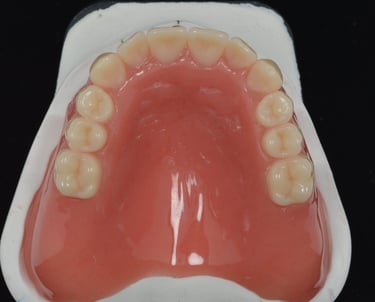
Totallprothese

Totalprothesen stellen höchste Anforderungen an die moderne Zahntechnik.
Von der naturgetreuen Nachbildung des Zahnfleischs in Form und Farbe bis zur präzisen Gestaltung von Kunststoff- oder Porzellanzähnen müssen sie perfekt auf die Individualität ihres Trägers abgestimmt sein – ohne von außen erkennbar zu sein.

Doch Ästhetik allein reicht nicht: Exzellente Passgenauigkeit, optimale Funktion und Langlebigkeit sind ebenso entscheidend, um Patienten ein Stück Lebensqualität zurückzugeben.

Stark, langlebig und natürlich ästhetisch

otalprothesen werden bei zahnlosen Kiefern eingesetzt und halten ausschließlich durch Saugwirkung auf der Schleimhaut von Gaumen und Kieferkamm. Voraussetzung dafür ist eine präzise Anpassung der Prothese an die individuelle Kieferform des Patienten.

5 Tage


Schnelle Produktion für effiziente Abläufe und Patientenplanung

1 Jahre
Durchlaufzeit


Zuverlässige Deckung, die vor Herstellungsfehlern schützt

Garantie

Hochwertige Haltbarkeit, digital geliefert

Unsere gefrästen Prothesen werden aus hochdichten PMMA-Rohlingen gefertigt - für unübertroffene Festigkeit, langfristige Passform und hochglänzende Ästhetik.

Hohe Festigkeit

Langfristige Abnutzung

Lebensechte Ästhetik

Restaurative Lösung für zahnlose Fälle mit vollem Zahnbogen