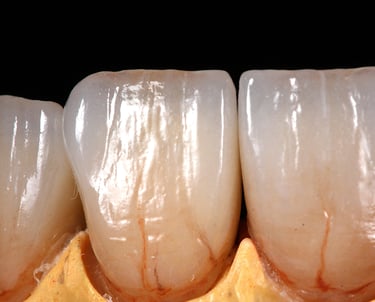
Ästhetik, die Vertrauen schafft
Ästhetische Restaurationen aus Zirkoniumdioxid sind ideal für sichtbare Bereiche des Lächelns. Mit hochtransluzentem Zirkoniumdioxid und detailliertem digitalem Design sorgen sie für Harmonie in Farbe, Form und Lichtverhalten - mit minimalen Anpassungen.
5 Tage
Schnelle Produktion für effiziente Abläufe und Patientenplanung
5 Jahre
>800 MPa
Gewährleistet Langlebigkeit und Bruchfestigkeit bei Beißkraft
Biegefestigkei
Durchlaufzeit
Zuverlässige Deckung, die vor Herstellungsfehlern schützt
Garantie

Schönheit, getragen von Substanz
Natürliche Transluzenz
Inhärente anatomische Präzision
Stabile Schönheit im Laufe der Zei
Spezifikationen für Ästhetisches Zirkon
Indikationen
Kronen im Frontzahnbereich, Brücken bis zu 3 Gliedern, Veneers, Inlays und Onlays, verschraubte Kronen und 3-gliedrige Brücken.
Beschränkungen
Geringere Biegefestigkeit als vollmonolithisches Zirkoniumdioxid (~900 MPa vs. >1.000 MPa)
Anfällig für Abplatzungen bei starken okklusalen Kräften
Das ästhetische Ergebnis hängt stark von der Farbwahl und der Farbe des Zahnsubstrats ab
Dauerhaftigkeit
Zirconia Esthetic flexural strength > 900 MPa
Vorbereitung
Fase oder Schulterrand; 1,2-1,5 mm okklusale Reduktion; 1,0-1,2 mm axiale Reduktion
Material-Optionen
Ytria Mol: 4.6-4.9%
Verfügbare Farben: BL1, BL2, BL3, A1, A2, A3, A3.5, A4, B1, B2, B3, B4, C1, C2, C3, C4, D2, D3, D4
Gestaltungsmöglichkeiten
Gesichts-Cutback- oder Vollkontur-Design, optimiert für ästhetische Zonen; verschraubte oder zementierte Optionen; anpassbare Okklusion


